怼脸教学,空间转录组模板文章

Sean 生信人 2024-01-25 07:02
空间转录组学近年来一直炙手可热, 那么如何利用测好的组学发表一篇优质文章呢,这篇文章发表在Signal Transduct Target Ther上的高分文章提供了一个完美的模板。那么接下来让我们看看文章作者是如何把组学分析发挥地淋漓尽致。

1.背景

上皮细胞-间充质转化(EMT)和增殖在上皮癌的形成和发展过程中起着重要作用,但究竟是什么分子以及它们是如何触发 EMT 的。你们对来自小鼠和人类的多期食管鳞状细胞癌(ESCC)样本进行了空间转录组学和功能分析,以破解这些关键问题。通过研究时空基因表达模式和细胞-细胞相互作用,作者证明了上皮细胞通过 EFNB1-EPHB4 的异常相互作用引发了由下游 SRC/ERK/AKT 信号介导的 EMT 和细胞周期。异常的上皮细胞相互作用发生在早期癌前病变的基底层,然后扩展到整个上皮细胞层,并随着癌症的发展和进展而加强。功能分析发现,EFNB1-EPHB4的异常相互作用是由TP53突变导致的ΔNP63过表达引起的,而TP53突变是人类ESCC肿瘤发生的罪魁祸首。该研究结果揭示了TP53-TP63/ΔNP63-EFNB1-EPHB4轴在上皮癌形成的EMT和细胞增殖过程中的作用。

2. 空间转录组分析

通过Visium空间转录组测序技术,作者分析了在不同时间从化学致癌物4-NQO15处理的小鼠模型中提取的五个不同组织,即正常组织(NOR)、INF、LGIN、HGIN和ESCC。最初的空间转录组数据包括 2022 个点,包括覆盖粘膜-粘膜下层和肌肉层。由于小鼠 ESCC(mESCC)发生在上皮细胞中,作者人工分离了粘膜和粘膜下层的 977 个点进行最终分析,其中包括 NOR 样本中的 87 个点、INF 样本中的 225 个点、LGIN 样本中的 185 个点、HGIN 样本中的 94 个点和 mESCC 样本中的 386 个点。经过质量控制后,每个样本点平均有 3849 个基因和 10037 个独特的转录本。聚类分析将 NOR 和四个病变食管样本中的四个转录组区域按组织学划分为基底层(suprabasal layer,SBL,n = 119)、基底层(basal layer,BL,n = 132)、粘膜肌层(muscularis mucosa,MM,n = 215)和粘膜下层(submucosa,SM,n = 104)(图 1b 和补充图 1d)。作者发现了另一个具有高水平癌症标志表达的特殊群组,称为mESCC发育区(EDR,n = 407),它出现在INF阶段,在癌前病变中逐渐扩大,最终占ESCC的82.1%。四个典型组织区域都大量表达了与其分布和功能相对应的基因,而 EDR 则高水平地表达了参与角质形成细胞增殖的基因。

图片

图1:空间转录分析显示,在mESCC的发生和发展过程中存在明显的分子区域化。总体研究设计方案。基于B图的五个阶段样本的粘膜-粘膜下层聚类法识别出五个组织区域。左上角:5个分期标本的H&E染色,粘膜-粘膜下层和肌层用黑线勾画。左下角:每个样本中五个组织区域的空间分布。右图:UMAP图显示所有五个阶段的样本中粘膜-粘膜下层斑点无偏向聚集。NOR正常,INF炎症,LGIN低度上皮内瘤变,HGIN高度上皮内瘤变,mESCC小鼠食管鳞癌。堆积直方图C,显示五个阶段样本中五个组织区域的组成。在五个阶段中,EDR所占比例逐渐增加。D堆积直方图显示五个组织区域的五个阶段的组成, 五个组织区域中前10个高表达基因的比例和标准化表达水平的热图, 五个组织区域中选定基因本体论途径的定标和归一化基因集丰富分析(GSVA)分数的F热图

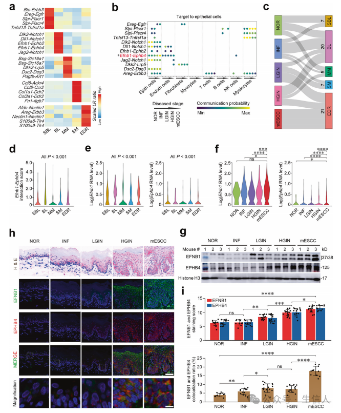
3.基于空转和单细胞的细胞互作分析

接下来,作者研究了癌前病变和癌前病变微环境中的细胞-细胞相互作用,以找出它们对上皮组织紊乱的影响。作者计算了配体-受体基因对的比例,发现不同的组织区域有不同和特定的细胞间信号转导。值得注意的是,EDR在细胞生长、细胞黏附和肿瘤炎症途径中具有高比例的配体-受体基因对(图2A)。作者进一步检查了在多阶段小鼠模型6的单细胞转录组数据集中协调这些相互作用的细胞类型 (图2B),结果表明,Notch1相关配体-受体基因对,Dlk2-Notch1,Dll1-Notch1和Jag2-Notch1,随着疾病的发展,在基底层的上皮细胞之间的相互作用概率显著降低;然而,Ephnb1-EPHB4,EPhin/Eph酪氨酸激酶受体家族的成员,相互作用的可能性显著增加 (图2B)。

空间转录分析显示,有60个点具有显著的EFNB1-EPHB4相互作用,主要位于BL (20个点)和EDR (21个点) 区域(图2C),其EFNB1-EPHB4相互作用的得分显著高于其他三个组织区域的斑点(图2D)。与这些结果一致,BL和EDR的EFNB1和EPHB4 RNA水平显著高于其他地区(图2E)。单细胞转录分析还表明,在正常和所有四个疾病阶段,EFNB1在上皮细胞中高表达,而EPHB4在癌前和癌前上皮细胞中显著过表达(图2F),这与它们在不同疾病阶段的组织样本中的蛋白水平相一致(图2G)。小鼠组织标本的免疫荧光染色显示,EFNB1和EPHB4共定位于基底层上皮细胞的膜上,相互作用信号随着疾病的进展而显著并逐渐增加(图2H,I)。这些结果提示,EFNB1和EPHB4的异常相互作用可能在4-NQO诱导的mESCC的发生发展中起重要作用。

图片

图2:EFNB1-EPHB4通过EFNB1-EPHB4异常的上皮细胞相互作用在MESCC的形成中起作用。A图区域特异性配体-受体(LR)基因对在五个组织区域富集率的热图。B图来自五个阶段组织的单细胞转录组数据中八种细胞类型和上皮细胞之间的组织区域特异性LR基因对的相互作用。EFNB1-EPHB4在上皮细胞间相互作用的几率随着mESCC的进展而逐渐显著增加。C图显示了在五个阶段样本的五个组织区域中具有显著EFNB1-EPHB4相互作用的斑点的分布。5个组织区域EFNB1-EPHB4相互作用分数的三维小提琴曲线图。E. 小提琴图,五个组织区域的EFNB1(左图)和EPHB4(右图)的对数归一化RNA水平。EFNB1和EPHB4在BL和EDR中的表达水平高于其他三个组织区域。F. 小提琴图五个阶段样本(CRA002118)的单细胞转录组数据中EFNB1(左图)和EPHB4(右图)的对数归一化RNA水平。不同疾病阶段小鼠食道组织中EFNB1和EPHB4的蛋白印迹。每个阶段有三个样品,每个印迹分析有三个生物重复。具有代表性的EFNB1和EPHB4在5个疾病阶段的免疫荧光图像显示,它们在NOR和INF的基底层高表达,并沿着癌前病变到癌变的进展扩展到整个基底层。

4.通过EFNB1-EPHB4的异常上皮细胞相互作用促进人类ESCC形成


图片
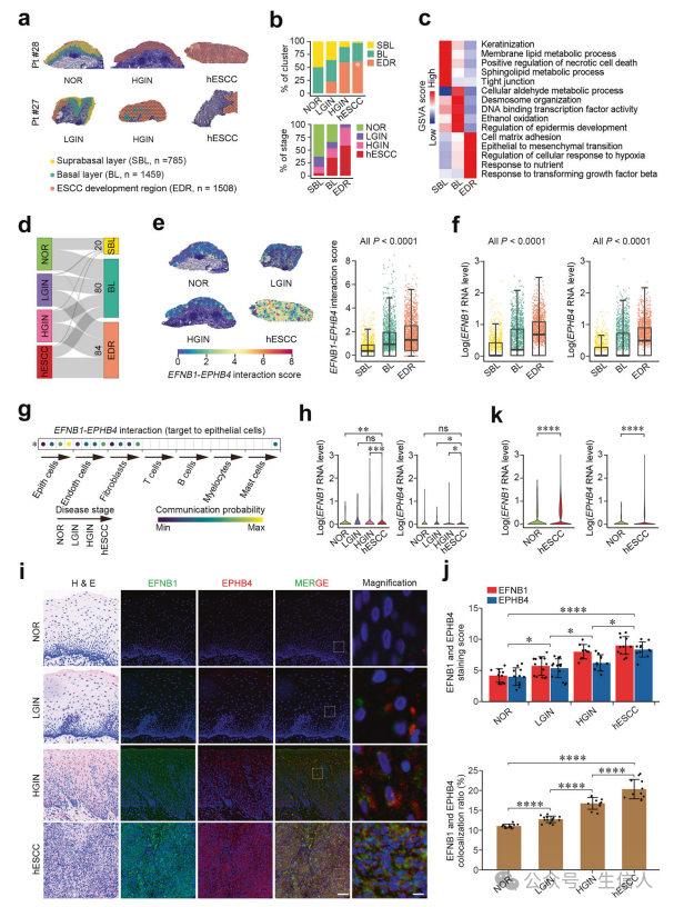
图3:通过EFNB1-EPHB4的异常上皮细胞相互作用促进hESCC的形成。a图显示ESCC患者四期样本中三个组织区域分布的空间图。b 图显示跨越四个疾病阶段的三个组织区域(上图)和跨越三个组织区域的四个阶段(下图)的堆积直方图。随着疾病的进展,SBL所占比例逐渐下降,且有显著性意义,而EDR所占比例逐渐上升,且有显著性意义。c .三个组织区域中选定基因本体途径的缩放和标准化基因集合富集分析(GSVA)得分的热图。d.显示在四个病理阶段的三个组织区域中具有显著EFNB1-EPHB4相互作用的斑点的分布的三维Sankey图。e在四个阶段的三个组织区域中的EFNB1-EPHB4相互作用评分。左图:显示EFNB1-EPHB4相互作用分数在NOR的基底层更高的空间图,其沿着LGIN、HGIN和hESCC扩展到整个层。多阶段单细胞转录组数据中七种细胞类型和上皮细胞之间EFNB1-EPHB4相互作用的气泡图(g)。代表的每个点都是显著的(P < 0.05)。上皮细胞之间的EFNB1-EPHB4相互作用概率在四个病理阶段期间逐渐升高。* Mann-Kendal趋势检验的P < 0.05。h Violin图显示了通过scRNA-seq (HRA000776)在不同阶段样品的上皮细胞中对数归一化的EFNB1和EPHB4 RNA水平。I在四个病理阶段中EFNB1和EPHB4的代表性免疫荧光图像显示它们在NOR的基底层中高度表达,随着ESCC的发展,其扩展到整个层。k图显示了通过scRNA-seq (GSE160269)在hESCC和正常组织的上皮细胞中对数标准化的EFNB1和EPHB4 RNA水平。

小鼠模型中的结果鼓励作者检查异常的EFNB1-EPHB4相互作用是否也存在并在人类食管肿瘤发生中起作用。使用与在小鼠模型中使用的相似的实验方法,作者从4名患者中人工分离了3752个人ESCC食管粘膜-粘膜下层(hESCC)斑点,包括来自NOR的994个、来自LGIN的441个、来自HGIN的888个和来自hESCC的1429个,用于空间转录组分析(补充图4a和补充表S4)。质量控制后,每个点平均有4,485个基因和13,119个独特的转录本用于最终分析(补充图4b),它们分别来自SBL (n = 785)、BL (n = 1459)和EDR (n = 1508)(图3a和补充图4c)。作者发现从LGIN、HGIN到hESCC,EDR的比例随着疾病进展而增加(趋势检验,P = 0.02图3b和补充图4d),表明在mESCC模型中观察到的类似的上皮组织破坏发生在hESCC发育中。作者发现EDR在人食管组织中广泛高表达涉及细胞基质粘附、对TGF-β和EMT的细胞反应的基因,尽管SBL和BL分别在上皮角质化、细胞坏死和紧密连接和氧化代谢、桥粒形成和转录因子活性中高表达基因(图3c和补充图4e)。此外,作者发现184个具有显著高的EFNB1-EPHB4相互作用的斑点主要在BL (80个斑点)和EDR (84个斑点)内,其相互作用分数显著高于其他区域的斑点(图3d,e)。值得注意的是,NOR、LGIN和HGIN的基底层具有比SBL更高的EFNB1-EPHB4相互作用分数,而在hESCC区域,相互作用信号更广泛和普遍(图3e)。根据评分水平,B1和EDR的EFNB1和EPHB4 RNA水平显著高于SBL(图3f和补充图4f)。单细胞转录组分析显示上皮细胞间的EFNB1-EPHB4相互作用沿着hESCC进程逐渐增强(趋势检验,P = 0.04图3g ),上皮细胞中EFNB1和EPHB4的表达上调(图3h和补充图4g)。免疫荧光染色也验证了EFNB1-EPHB4相互作用的时空变化,显示高相互作用分数在NOR样品的BL中,并且在LGIN、HGIN和hESCC中增加和扩散(图3i,j)。这些结果在来自60名患者的hESCC样本的单细胞转录数据(图3k和补充图4g,h)和来自94名患者的大量hESCC RNA测序数据(补充图4i,j)中得到验证,如先前所报道的。7,16这些结果表明,人食管癌的发展具有与mESCC致瘤模型相似的分子组织分段,并且异常的EFNB1-EPHB4相互作用可能在上皮组织致癌性解体中起重要作用。

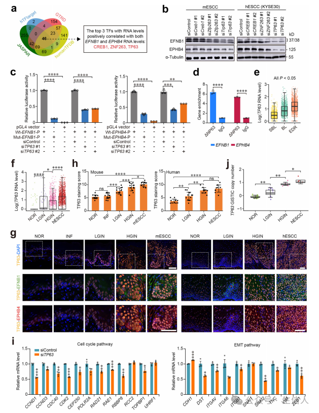
5.ESCC进展期间NP63过度表达导致异常的EFNB1-EPHB4相互作用


图片

图4:ESCC进展期间TP63/∆NP63的过度表达导致异常的EFNB1-EPHB4相互作用。a.文氏图显示了在scRNA-seq数据(GSE160269)中与上皮细胞中EFNB1和EPHB4 RNA水平正相关的潜在转录因子(TF)。b.敲除三种感兴趣的TF对mESCC和hESCC细胞中EFNB1和EPHB4蛋白水平的影响(KYSE30)。c. hes cc细胞(KYSE30)中报告基因分析的结果。柱状图显示了用所示报道质粒或siRNA转染的细胞中的相对荧光素酶活性。d.染色质免疫沉淀和qPCR显示在用NP63抗体处理的细胞的裂解物中EFNB1和EPHB4富集。e. 通过空间转录测序分析人胚胎肝细胞癌不同组织区域上皮细胞TP63 RNA水平的差异。f. 通过scRNA-seq (HRA000776数据)分析的不同疾病阶段的上皮细胞中TP63 RNA水平的差异。(e)和(f)中的数据是中间值和第25至75个百分位数分布。g.来自小鼠(左图)和人(右图)食管组织的多级组织中TP63、EFNB1和EPHB4的代表性免疫荧光图像。共定位信号在NOR(在小鼠中也是INF)组织的基底层是高的,但是随着疾病的进展扩展到整个层。h. 小鼠组织的NOR (n = 13)、INF (n = 14)、LGIN (n = 16)、HGIN (n = 14)和mESCC (n = 12)以及人类组织的NOR (n = 11)、LGIN (n = 14)、HGIN (n = 10)和hESCC (n = 11)中TP63染色分数的定量统计。I .在TP63敲除的hESCC细胞(KYSE30)中细胞周期途径(左图)和上皮-间质转化(EMT)途径(右图)中基因表达的验证。

作者接下来探索了为什么上皮细胞EFNB1-EPHB4相互作用在ESCC进展中被强烈增强。由于多阶段患病食管上皮组织的全基因组亚硫酸氢盐测序和全基因组测序没有显示EFNB1和EPHB4的启动子甲基化修饰和DNA拷贝数变异的显著差异,因此作者研究了可能调节EFNB1和EPHB4表达的转录因子。基于四个数据库,作者鉴定了46个可能调节EFNB1和EPHB4表达的转录因子(图4a)。然而,相关性分析显示,在这些基因中,就表达水平而言,只有TP63、ZNF263和CREB1与EFNB1和EPHB4显著相关。体外基因操作分析显示,在mESCC和hESCC细胞(KYSE30)中,只有TP63而不是ZNF263和CREB1敲低显著抑制了EFNB1和EPHB4 mRNA和蛋白表达(图4b)。然后作者观察EFNB1和EPHB4启动子序列,发现两者都含有TP63结合基序。据报道,人食管中的主要TP63同种型是NP63。21,22因此,作者进行了荧光素酶报告基因测定,结果显示具有野生型EFNB1或EPHB4启动子的报告基因的活性显著高于具有缺乏∏NP63结合基序的突变型EFNB1或EPHB4启动子的报告基因的活性(图4c)。此外,细胞中TP63的敲除显著抑制了报道基因的活性(图4c)。作者还使用抗∏NP63抗体在KYSE30细胞中进行染色质免疫沉淀偶联qPCR分析,结果显示EFNB1和EPHB4的大量富集(图4d),反映出∏NP63结合这些细胞中的EFNB1和EPHB4启动子。

作者进一步研究了TP63的时空变化及其对食管发育的影响。时空分析显示,在人和小鼠食管组织样品中,BL和EDR具有明显高于其他组织区域的TP63表达水平(图4e)。单细胞转录组分析还显示,人癌前和癌性食管上皮细胞中的TP63表达水平显著高于正常上皮细胞中的表达水平(图4f)。作者重新分析了作者之前报道的hESCC样本的一个批量RNA-seq和一个scRNA-seq数据集7,16,发现肿瘤样本中的TP63 RNA水平显著高于正常组织样本。作者还在小鼠和人组织样品中进行了免疫荧光测定,结果显示,与正常上皮相比,在癌前和癌性上皮中TP63蛋白以及EFNB1和EPHB4蛋白的染色分数显著更高,并且具有高染色的细胞主要位于基底层,但随着疾病的进展扩展至整个上皮层(图4g,h)。然而,作者注意到在多阶段小鼠样品中,TP63蛋白水平与通过scRNA-seq测定的RNA水平不一致(补充图8g)。作者进一步敲除KYSE30细胞中的TP63,发现细胞周期和EMT途径中基因的mRNA水平显著降低(图4i),这类似于敲除EFNB1或EPHB4的效果,表明TP63、EFNB1和EPHB4在同一功能轴上,而TP63在上游。

6.总结

在这里小编只纳入了部分内容,原文的工作量还要大很多。文章多次利用到空间转录组的信息,并有效结合其他组学发现了全新的通路。当然,组学数据只是本文的敲门砖,清晰的实验思路也值得品鉴。

图片

更多精彩生信知识和技术分享

欢迎添加微信



往期热点 (点击标题跳转)

01

肿瘤免疫逃逸新机制

02

孟德尔随机化

03

生信+实验结合

04

单细胞空间转录组

05

肿瘤相关巨噬细胞(TAM)

06

细胞死亡

07

耐药


文章转载请联系 | 15510012760(微信)


微信扫一扫
关注该公众号